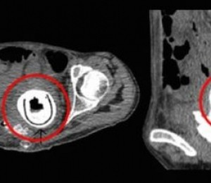
O femeie in varsta de 38 de ani din Scotia s-a confruntat cu diverse simptome - tremurat, pierdere severa in greutate, letargie si cateva saptamani de incontinenta urinara usoara. Cand doctorii au examinat-o, au fost ingroziti sa descopere un obiect strain care se extindea din vagin catre vezica femeii.
VIDEO: Reactia unor femei care isi vad pentru prima oara vaginul
Dupa indepartarea chirurgicala a obiectului strain a venit si confirmarea: a fost vorba de o jucarie sexuala cu o lungime de 13 centimetri. Si obiectul se afla in vaginul ei de 10 ani.
Femeii nu i-a venit sa creada cand a aflat. Ea a declarat ca a folosit jucaria sexuala acum 10 ani si a recunoscut ca a fost beata, asa ca a uitat sa o scoata din vagin.
Din cauza ca jucaria sexuala a fost blocata in corpul ei, femeia s-a confruntat cu o afectiune numita fistula vezico-vaginala (urina unei femei curge in vagin) si cu o alta afectiune numita uropatie obstructiva (un blocaj al vezicii urinare care determina urina sa se intoarca in rinichi).
Daunele produse de obiectul sexual in corpul femeii au fost, din fericire, reparate, dar doctorii spun ca persoana ar fi putut sa se confrunte cu alte afectiuni care i-ar fi pus viata in pericol.
Din moment ce vaginul are o multime de terminatii nervoase si este foarte sensibil, este foarte neobisnuit ca un obiect sa se blocheze acolo si persoana sa nu fie constienta de acest lucru.
Femeia in cauza avea un IQ normal, nu era deprimata si nu a fost niciodata abuzata, asa ca si medicii au fost nedumeriti de modul in care obiectul a fost blocat in vagin pentru atat de mult timp. Sursa.
Citeste si: O vedeta de la noi si-a "intinerit" vaginul: "A fost dureros pentru ca..."
De ce avem si in epoca moderna par pubian
Lubrifierea vaginala - forma de aparare, nu de acceptare a avansurilor sexuale

Prezervativ conceput pentru a ucide HIV, HPV si virusul care provoaca herpes
Barbatii care au surori sunt cei mai buni IUBITI pe care ii poti avea






















